О нас
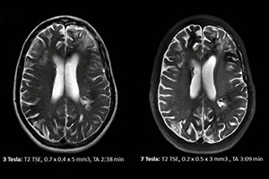
Компания Star-Test, предоставляющая диагностические услуги в Стамбуле с 1993 года, располагает самыми передовыми радиологическими устройствами с технологией.
ПодробнееРабочие часы
- Mon - Fri
07.30 - 20.30
- Saturday
07.30 - 17.30
- Sunday
Close
To Request an Interview

